
Ретроперитонеальный фиброз — это фиброзная бляшка, центр которой обычно располагается в области L4 и L5. Она распространяется каудально к промонториуму крестца, а капитально — в область ворот почки. Латеральные края этого поражения обычно ограничены наружными контурами поясничной мышцы. В некоторых случаях фиброзная бляшка распространяется каудально вдоль подвздошных сосудов.
Он сочетается с медиастинальным фиброзом, мезентериальным фиброзом, склерозирующим холангитом, фиброзным тиреоидитом Рейделя (Reidel) и фиброзными орбитальными псевдоопухолями.
Истинная этиология неизвестна, однако считают, что заболевание развивается в результате иммунологического ответа на выделение веществ из (атеросклероти-чески) измененных кровеносных сосудов.
В двух третях случаев ретроперитонеальный фиброз имеет идиопатический характер. Возникновение заболевания у оставшейся трети пациентов имеет разнообразные причины, к числу которых относятся лекарства, особенно метисергид (который обычно используют для лечения мигрени, на этот препарат приходится почти 10 % от всех случаев ретроперитонеального фиброза), злокачественные новообразования, инфекции, облучение и воспалительные заболевания.
Идиопатические | Злокачественные
новообразования |
Лекарства | Первичные (лимфома,
саркома и т. д.) |
Амфетамины | Метастатические |
Анальгетики (фенацетин) | Воспалительные
заболевания |
р-Блокаторы | Воспалительные
заболевания кишечника |
Метилдопа (альдомет) | Другие инфекции
желудочно-кишечного тракта |
Диэтиламид лизергиновой
кислоты (ЛСД) | (дивертикулиты
и т. д.) |
Метизергид (сансерт) | Заболевания желчевыводящих
путей |
Другие алкалоиды
спорыньи (бромкриптин и т. | д.) Эндометриоз |
Резерпин | Саркоидоз |
Галоперидол | Периартериит |
Инфекции | Перианевризмы
(аортальные или |
Хронические инфекции
мочевыводящих путей | подвздошные) |
Аутоиммунные
заболевания | Коллагеновая
сосудистая болезнь |
Гонорея | Мочевая экстравазация |
Сифилис | Геморрагии (травма,
б-нь Шенлейна-Геноха) |
Туберкулез | Хирургические
вмешательства на органах |
Облучение | брюшной полости |
Ретроперитонеальный фиброз встречается редко, его частота составляет примерно 1 случай на 200 000 человек. Обычно он диагностируется у пациентов в возрасте от 30 до 60 лет. Идиопатический ретроперитонеальный фиброз развивается в 2 раза чаще у мужчин, чем у женщин.
Наиболее частое осложнение — это обструктивная уропатия, которая развивается вторично вследствие сдавления мочеточника. Однако встречается также и непроходимость кишечника, обструкция венозных сосудов и, реже, артериальная и билиар-ная обструкция.
У большинства пациентов симптоматика неотчетливая — боли внизу спины, утомляемость, анорексия и потеря массы тела. В некоторых случаях наблюдается незначительная лихорадка и симптоматика, специфически связанная с зоной обструкции, например отек нижней конечности вследствие венозной обструкции.
Несмотря на то, что не существует специфических лабораторных показателей, изменения которых связаны с развитием ретроперитонеального фиброза, примерно у 60-90 % пациентов определяется повышение скорости оседания эритроцитов, неспецифического индикатора воспаления. Также могут определяться анемия и лейкоцитоз, равно как и азотемия различной степени.
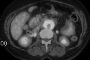
Традиционно для подтверждения диагноза ретроперитонеального фиброза применяется внутривенная урография, при которой могут быть выявлены длинные суженные участки мочеточника и его медиальное отклонение в проекции средней трети, а также гидронефроз. Тем не менее, при ретроперитонеальном фиброзе медиальное отклонение определяется не всегда, в то время как у 20 % людей с нормальными мочевыми путями также выявляется медиальное отклонение мочеточников. В последнее время для уточнения границ поражения при ретроперитонеальном фиброзе применяется компьютерная томография (КТ) и магнитно-резонансное исследование (МРИ), при которых выявляется объемное образование, окружающее полую вену и аорту.
Несмотря на то, что МРИ позволяет в некоторых случаях установить диагноз, радиографические методы исследования в настоящее время не дают возможность провести дифференциальную диагностику между злокачественными и доброкачественными причинами развития ретроперитонеального фиброза. Уточнить диагноз и провести дифференциальную диагностику между злокачественным и доброкачественным ретроперитонеальным фиброзом можно с помощью анализа множественных глубоких биопсий этого образования.
Рассыпной тип клеточного инфильтрата при злокачественном ретроперитонеальном фиброзе часто требует множественных глубоких биопсий, выполняемых в ходе хирургического вмешательства. Ткани, полученной при перкутанной биопсии, часто бывает недостаточно.
Макроскопически он определяется как фиброзная бляшка серовато-белого цвета плотной, деревянистой консистенции.
На ранних стадиях развития заболевания при гистологическом исследовании бляшки определяется незрелый клеточный фиброзный процесс с большим количеством воспалительных клеток (в основном, лимфоцитов и плазматических клеток) и фибробластов. В более поздние сроки, по мере созревания бляшки, она становится сравнительно бесклеточной и состоит в основном из плотного гиалинизированного коллагена. Распространение этого процесса происходит от середины бляшки к латеральным краям, поэтому в биопсийном материале из латеральных участков при поздних стадиях заболевания по-прежнему может выявляться нормальная клеточная картина.
Лечение зависит от причины развития заболевания. Если причиной является применение лекарственных средств, например метисергида, отмена препарата часто приводит к выздоровлению. Лечение при злокачественных заболеваниях проводят в соответствии с их клеточным типом. Идиопатический ретроперито-неальный фиброз часто поддается лечению кортикостероидами и (или) дополнительными иммуносупрессорными препаратами. В то же время пациентам, особенно при распространенном заболевании, часто требуется хирургическое вмешательство для освобождения мочеточников и других структур с целью уменьшения обструкции.
Несмотря на то, что на протяжении нескольких лет стероиды относили к препаратам, применяемым в дополнение к хирургическому лечению или используемым у больных с противопоказаниями к оперативному вмешательству, в последнее время появились сообщения об их высокой эффективности. Это позволило предложить лечение этими препаратами в качестве первичной медикаментозной терапии и оставить хирургическое лечение для тех пациентов, у которых она оказалась неэффективной. Больным, имеющим обструкцию мочеточника, на ранних этапах лечения может понадобиться временное дренирование почки мочеточниковым стентом или выполнение перкутанной нефростомии.
Если предположить, что в связи с длительно существовавшей обструкцией мочеточника не произошло необратимого поражения почки, у больных, которые получили j лечение по поводу ретроперитонеального фиброза, прогноз благоприятный. Однако в связи с тем, что у пациентов могут развиться рецидивы заболевания в сроки, колеблющиеся от небольших промежутков времени до многих лет после проведенной терапии, им требуется пожизненное тщательное выполнение контрольных ультразвуковых исследований.
Чтобы оставить комментарий , Вам необходимо Авторизоваться или пройти Регистрацию