
Определение содержания кортизола в плазме утром и вечером.При синдроме Кушинга происходит утрата нормального суточного колебания уровня кортизола, его содержание высокое в течение всего дня.Она повышена при синдроме Кушинга.

Врожденные и приобретенные заболевания.
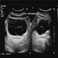
Мочевые органы и половые железы закладываются независимо друг от друга, но при дальнейшем развитии они формируют анатомически единую систему органов.Аномалии развития мочеполовых органов составляют более 30 % всех врожденных пороков развития.
Все аномалии развития почек создают условия для нарушения уродинамики, стаза мочи, инфицирования и развития тяжелых осложнений. Наиболее тяжелым осложнением у детей является пиелонефрит, при поздней диагностике которого развиваются деструктивные изменения в почке. Именно поэтому актуальными становятся ранняя диагностика и своевременная коррекция пороков развития органов мочеполовой системы.





















